Case Presentation:
Meningioma - Case 15
 
History & Physical
- 70-year-old lady with new onset of seizure while hiking resulting in gait instability. She was also found to have progressive loss of memory.
 - On examination, she had weakness of left upper extremity and decreased cognitive status.
 
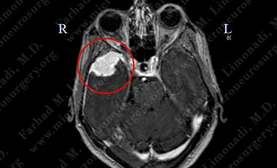
Imaging

MRI scan of the patient's brain showed a dural-based temporal tumor on the right side.
Computer Navigation



Stereotaxy and computer navigation was utilized to localize the tumor precisely. Tumor outlined in yellow
Surgical Procedure
- She was indicated for surgical resection of the tumor.
 
 
 
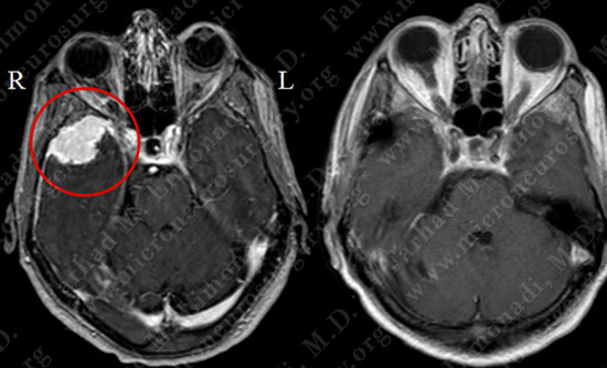
Post-op Imaging

Before Operation                                                 After Operation
Post-op MRI shows complete resection of the tumor with no injury to surrounding neurovascular structures.








																									
						
					
																									
						
					
																									
						
					






